BIENVENUE AU CABINET DENTAIRE JOLY,
Dentiste villefranche sur saône
L’activité de nos chirurgiens dentistes et assistantes dentaires est essentiellement tournée vers l’implantologie, la parodontologie et la prévention, la dentisterie esthétique et adhésive. La raison d’être de notre équipe est de prendre soin de votre bouche, de votre santé, de votre bien-être et de votre sourire.
Une gamme complète de traitement dentaire
LA PARODONTOLOGIE
Le parodonte est l’ensemble des tissus qui soutiennent les dents dans notre bouche, à savoir l’os autour des dents et la gencive …
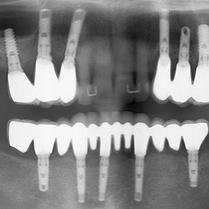
L'IMPLANT DENTAIRE
Un implant dentaire est une racine en titane que nous plaçons dans l’os de votre mâchoire, et sur laquelle nous fixons une ou plusieurs dents artificielles.
SOIN ESTHÉTIQUE DENTAIRE
Les nouvelles céramiques, sans armature en métal, le développement du numérique avec l’empreinte optique et la CFAO, …
LA PREVENTION
Le traitement de prophylaxie, en enlevant les bactéries et grâce au détartrage, préserve votre dentition. Il retarde ou évite les nouvelles caries …




